A mikroszkópos gyökérkezelés esetbemutatások segítségével ismertetjük azokat az élethelyzeteket, amikor érdemes gyökérkezelő specialistához fordulni. Ha egy korábban gyökérkezelt fog ismét problémát okoz annak több oka is lehet. Ilyen esetekben már érdemes mikroszkóppal dolgozó specialistához fordulni, aki részletesen feltárja majd megszünteti a probléma okát.
Mikroszkópos gyökérkezelés esetbemutatások I.
Hogyan orvosolható egy régi, rosszul sikerült gyökérkezelés egy felkészült gyökérkezelésre specializálódott fogszakorvos és a fogászati mikroszkóp segítségével?
Az eset előzményeinek rövid bemutatása:
Igényes hölgypáciensünknek már évek óta diszkomfort érzése volt és rendszeresen érzett fájdalmat a fenti bal oldali őrlőfogak táján.
A problémáját két fogorvosi rendelőben is kezelték, de nem találták meg a panaszok okát, így orvosolni sem tudták azt.
A probléma sikeres feltárása a Móricz Dentalban:
- A probléma feltárása egy panoráma röntgen illetve egy 3D CT felvétel készítésével kezdődött
- A digitális diagnosztika eredményeként kiderült, hogy a tüneteket három különböző probléma okozta:
- A régi, nem megfelelő záródással elkészített korona alatt fogszuvasodás jött létre, amelynek baktériumai átfertőzték a régi gyökértömést
- Az előző sikertelen gyökérkezelések eredménye két betört műszer lett, amelyek a fogban maradtak
- Az előző kezelések során kifúrták a fog oldalát, melynek következtében gyulladás alakult ki
A problémák sikeres megoldása Dr. Török Adrienn és a fogászati mikroszkóp segítségével:
- Fogászati mikroszkóp segítségével a két betört műszer eltávolításra került és a gyökértömések újrakészültek
- A fog oldala speciális tömőanyaggal lett betömve
- A régi, elavult korona helyére egy esztétikus korona készült pontos széli záródással
Mikroszkópos gyökérkezelés során eltávolított tű
Új, esztétikus koronák
A gyökértömés és az új koronák felhelyezése utáni állapot
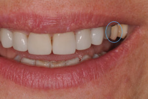
Mikroszkópos gyökérkezelés előtti állapot
Panoráma röntgen felvétel a kezelés előtt
Milyen pozitív életminőség javulást élt át a páciens?
- A páciens panaszai már az első kezelés alkalmával megszűntek
- A betört műszerek eltávolítása már nem okoz hosszú távú panaszt a páciensnek
- A régi, elavult korona helyére szép, esztétikus korona került
- A páciensünk 18 hónapja panaszmentes és már nem okoz frusztrációt számára fogászati problémája
A mikroszkópos gyökérkezelés utáni állapot. A végleges koronát készítette és felhelyezte: Dr. Horváth Péter
Mikroszkópos gyökérkezelés utáni állapot. A végleges koronát készítette és felhelyezte: Dr. Horváth Péter
Mikroszkópos gyökérkezelés utáni állapot
Mit kell tenni abban az esetben, ha Ön hasonló tünetektől szenved?
Ha Ön hasonló tünetektől szenved vagy gyökérkezelésre van szüksége, akkor már az első alkalommal érdemes felkészült gyökérkezelésre specializálódott fogszakorvoshoz fordulnia. A Móricz Dentalban Dr. Török Adrienn mikroszkópos gyökérkezelésre specializálódott fogszakorvos foglalkozik ezekkel az kezelésekkel. Jöjjön el rendelőnkbe egy személyes konzultációra Dr. Török Adriennhez, hogy szakértőtől ismerje meg fogászai problémáját és annak ideális megoldását.
Mikroszkópos gyökérkezelés esetbemutatások II.
Régi, nem tökéletes gyökértömések okozta panaszok megszüntetése fogászati mikroszkóppal Dr. Török Adrienn mikroszkópos gyökérkezelő és Dr. Horváth Péter esztétikai specialista segítségével.
Az eset előzményeinek rövid bemutatása:
Fiatal, hölgy páciensünknek – egy másik rendelőben készült – régi gyökértömése kellemetlen panaszokat okozott. Folyamatos, tompa lüktetést érzett a gyökérkezelt fogában valamint sportolás, liftezés közben és után erőteljes fájdalmat. A fog ráharapásra és nyomásra is érzékeny volt.
A probléma sikeres feltárása kíméletes digitális diagnosztikai eszközökkel (3D Green CT és panoráma röntgen felvétel)
- A kiindulási panoráma röntgenen látható, hogy a fogban a tömés nem zár tökéletesen, így bejutnak a fogba a baktériumok,
- A gyökerek csúcsán jól látható a gyulladás, amelyek a paciens által leírt tünetekért felelősA kiindulási CT-n látszik, hogy 3 csatorna van betömve, de a fogban 6 csatorna található
Mikroszkópos gyökérkezelés előtti állapot
Kezelés előtti állapot: a gyökerek csúcsán gyulladás található
- A kiindulási CT-n látszik, hogy 3 csatorna van betömve, de a fogban 6 csatorna található
Kiindulási CT felvétel a kezelés előtt
Kiindulási CT felvétel a kezelés előtt
A probléma sikeres megoldása Dr. Török Adrienn és a fogászati mikroszkóp segítségével lépésről lépésre:
- Fogszuvasodás eltávolítása
- Fog izolálása a nyáltól, majd mind a 6 csatorna feltárása és fertőtlenítése (4 különféle fertőtlenítő oldallal, lézerrel)
- A csatornák betömése speciális 3D-s töméstechnikával
- A fog koronai részének pontos és esztétikai zárása a további befertőződés megelőzése érdekében Dr. Horváth Péter esztétikai specialista által
Mikroszkópos gyökérkezelés utáni állapot (6 tömött csatorna)
A kezelés utáni állapot.
A kezelés utáni állapot. A végleges fogbetétet készítette és felhelyezte: Dr. Horváth Péter
Milyen pozitív életminőség javulást élt át a páciens?
A panaszok megszűntek a kezelés óta, a páciens foga újra teljes értékű, tünetmentes.
A kezelt fog esztétikus és természetes hatást kelt.
| Hétfő – péntek: | 08:00 – 20:00 |
| Szombat: | 09:00 – 15:00 |

















